成城学園KU歯科 医院HP
東京都世田谷区成城6-6-8 成城ワタナベビル1階![]()
当院の特徴について
「総合的な歯科医院」であること

当院は開業以来、総合的な歯科医院であることにこだわり続けてきました。それは、歯科医療は口腔内全体を見て治療を行うことが何より重要であると考えているからです。
歯を1本単位で見て治療するのでは、そのトラブルの原因が別の箇所にあった場合に適切な治療を行うことができません。歯科疾患は複合的な原因でトラブルが起きることが多いため、常に口腔内全体を見渡した治療が必要なのです。
当院では、口腔外科、インプラント、審美治療、歯周病、矯正、麻酔、保存修復など各分野に精通した歯科医師が密に連携し、口腔内全体を見据えた歯科医療を患者様にご提供に努めています。
対症療法よりも、全体治療

対症療法とは、何かの症状に対してその都度対処していく治療のことです。たとえば、取れてしまった詰め物を接着剤で付け直すといった治療のことを指します。しかし、詰め物を付け直す前に、なぜ取れたのかを考え、もともとの原因を追究して対処しなければ、また同じように詰め物が取れてしまうことになります。
長期的なお口の健康のためには、トラブルの原因を取り除き、口腔内全体を見据えた全体治療が何より重要です。そして、それが同じ過ちを繰り返さないための近道であると考えております。
当院では、各歯科分野に精通した歯科医師がチームとなって治療を提供する体制を整えております。一つの医院内にて口腔内全体の健康改善をはかることができるので、治療後の予後も良く、お口の健康を長期的に保つことが期待できます。
明瞭な料金体制

保険適用外の歯科治療にかかる費用は、患者様のお口の状態によってそれぞれ異なるため、患者様にとっては分かりにくくなってしまいがちです。当院では、治療前のカウンセリングの際に、治療計画や治療内容とともに治療にかかる全体の費用を明確にご説明させていただいております。
当院では審美的な歯科治療として、セラミッククラウン・ホワイトニングなどをご提供しています。
治療方法や使用する素材などによって治療にかかる費用は異なりますので、詳しくはカウンセリングにてご説明させていただきます。
お支払い方法は、現金のほかクレジットカード、デンタルローン(60回まで分割可能)をご利用いただけます。
お気軽にご相談ください。
削らない歯科治療

シンプルで患者様の身体に負担を掛けない治療こそが、患者様が真に求める治療であると考えております。特に「削らない歯科治療」は、今後の歯科治療において重要なテーマであるといえます。当院では、矯正治療、予防、インプラントの3つを「削らない歯科治療」の柱としております。
削らない歯科治療の3つの柱
- 予防
予防は今ある健康な歯を守るための処置を行います。また、治療後のアフターケアによって歯の健康の持続に繋がります。
- 矯正
歯並びを整えるだけではなく、歯や歯茎の色や形態を整えることにより、歯を削ることなく健康的できれいな口元に導きます。
- インプラント
インプラントはむやみに健康な歯を削る必要がないため、周りの歯に負担を掛けない治療といえます。
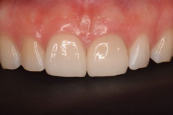
審美的な歯科治療でできること
審美的な歯科治療とは、虫歯や歯周病のような歯の疾患を治療することではなく、歯の見た目の美しさに焦点を当てた歯科医療のことを言います。
当院の審美的な歯科治療では、整った歯並びやバランスのとれた歯茎などを含めた口元全体での美しさと、患者様本来の健康的な笑顔を手に入れることを目指しています。
審美的な歯科治療の具体的な内容としては、歯の漂白、歯並びや歯の形の改善、歯茎の黒ずみ除去などがあります。
歯を白くしたい(ホワイトニング)

毎日の歯磨きや歯科医院でのクリーニングでも除去できない歯の黄ばみや着色汚れにお悩みの方には、歯を白くするホワイトニングがおすすめです。
ホワイトニングでは、歯の表面に専用の薬剤を歯に塗布することで歯に沈着した色素を分解し、歯を白くします。
ホワイトニングは歯を削る必要がないので痛みや不快感はほとんどなく、差し歯などに比べ、あまり身体に負担をかけずに健康的な白い歯を目指すことができます。
ホワイトニングには、歯科医院で行う「オフィスホワイトニング」と、 自宅にて患者様ご自身で行っていただく「ホームホワイトニング」、そしてこれら2つの方法を併用する「デュアルホワイトニング」という方法があります。
被せ物を白くしたい

ホワイトニングは、天然歯を白くしたい場合に行われる治療法です。
金歯や変色した被せ物を白くしたい場合には、セラミッククラウンによる治療がおすすめです。
セラミッククラウンには、いくつか種類がありますが、ここでは審美性に優れたオールセラミッククラウンについてご紹介します。
オールセラミッククラウン

オールセラミッククラウンとは、すべてセラミック材料(陶器材料)で構成された被せ物のことをいいます。
オールセラミッククラウンは、光を透過するので、天然の歯に近い透明感がある仕上がりになり、見た目の気になる前歯に適しています。
また、金属を使用しないので、金属アレルギーをお持ちの方にも提案している治療方法です。
当院では、一般的な焼成型のセラミックだけでなく、強度に優れたガラスセラミックやジルコニアなど、審美性と機能性を兼ね備えたオールセラミッククラウンを取り扱っております。
歯の色と形を整えたい

・ホワイトニングでは白くできない歯の着色がある
・前歯の形をもう少しだけ良くしたい
・歯並びを少しだけ、一般的な矯正歯科治療よりも短期間できれいにしたい
こういったお悩み・要望がある方にご案内させていただく治療法にラミネートベニアがあります。
ラミネートべニア
ラミネートベニアは歯の表面を薄く削り、そこにセラミック製の薄い板を貼り付ける治療を行い、白く形の整った歯を目指します。
耐久性があり、自然な白さで美しい歯に仕上がる審美的な治療の1つとなっています。

歯茎の黒ずみを取りたい(ガムブリーチ)

歯茎が黒ずんでいる方や被せ物をしている部分の歯茎が変色してしまった方におすすめなのが、ガムブリーチです。
黒ずんでしまっている歯茎では、たとえ歯を白くしても見た目の良さが損なわれる場合があります。
ガムブリーチは、レーザーを使って歯茎の黒ずみ(メラニン色素の沈殿)を除去することで、痛みをほとんど感じることなく、健康的なピンク色の歯茎に近付けることができます。
ホワイトニングについて
ホワイトニングについて寄せられる質問についてご回答いたします。
- ホワイトニングに痛みはありますか?
-
ホワイトニングは麻酔をしたり、歯を削ったりしないので、痛みを感じることはほとんどありません。
ただし、歯の質には個人差があるため、一時的に知覚過敏の症状がでる方もいらっしゃいます。ほとんどの場合、一過性のものなので、数時間〜数日で治まりますが、何日も痛みが続く・痛みがひどいといった場合には、医院で検査を受け、痛み止めを処方してもらうようにしましょう。
- ホワイトニング効果はどのくらい持続しますか?
-
ホワイトニングの効果には個人差がありますので、明確な返答はできませんが、目安としては、オフィスホワイトニングの場合では約半年〜1年ほど、ホームホワイトニングの場合は、約1年効果が持続するとお考えください。
ホームホワイトニングの効果の出方にも個人差はありますが、初めての方だと1〜2週間継続後に効果が出やすくなります。
- ホームホワイトニングとオフィスホワイトニングのどちらが良い?
-
ホームホワイトニングはオフィスホワイトニングよりも、白くなるのまで時間がかかりますが、白さが長持ちします。
オフィスホワイトニングはホームホワイトニングよりも、早く白くすることができますが、後戻りが早い傾向があります。
どちらが良いかは、患者様のライフスタイルや、いつまでに白くなりたいかなどのご要望に合わせてご選択いただけます。
また、当院では患者様のエナメル質に合わせたホワイトニングを行っていますので、身体への負担の少ない処置を行うことができます。
※治療結果は患者様によって個人差があります。
成城学園KU歯科の治療サービス
- ホワイトニング
- ホームホワイトニング / オフィスホワイトニング / デュアルホワイトニング
- セラミック治療
- セラミックインレー / ハイブリッド / セラミッククラウン / ジルコニア
- その他の審美治療
- ラミネートベニア / メタルボンド
- 歯以外の審美
- 歯茎のホワイトニング


